Colbert Family Dental
Mackenzie Colbert D.D.S.

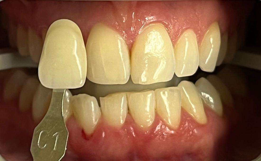
Zoom Whitening

As we age, our teeth lose some luster and can become more yellow or dull. An in-office treatment with Zoom! Whitening can deliver a smile that is six to ten shades lighter than when you started, and this patient enjoyed stunning results.

Want More Information about Teeth Whitening in Maple Grove, MN?

Contact our team at (763) 424-4544 for more information about professional teeth whitening. 

Related Services:

Teeth Whitening
Are You Ready to Book Your Next Dental Visit?
If you have difficulty using our website, please email us or call us at (763) 424-4544
View the ADA Accessibility Statement